mobile-banner
"Personalized Care Is Our Competitive Edge."
TEETH WHITENING

FULL MOUTH REHABILITATION WITH IMPLANTS AND CROWNS

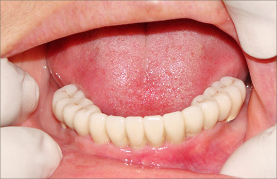
CASE STUDY III – FULL MOUTH REHABILITATION WITH IMPLANTS AND CROWNS

PATIENT NAME – Mr Robert Abbey (Melbourne, Australia)

CHIEF COMPLAINT – Mr Robert Abbey visited us to get his entire mouth rehabilitated. He was suffering from an acute gum disease as a result of which, he had lost some of his teeth The remaining teeth were mobile and painful, gums spongy, puffy and bleeding .There was pain and infection as well as foul smell in his mouth. Thus he was not able to enjoy eating and was embarrassed about his teeth.

TREATMENT – All the remaining diseased teeth were extracted, thorough deep cleaning and flap treatment of the gums was done, bone grafts were placed, implants were placed and then temporary teeth were given for around 6 months. After 6 months once the implants and the bone had fused, permanent crowns were provided.

Case Studies

Before
TEETH WHITENING

After

Testimonial
“In the measure of being an ex-patient of Dr Supriya Bhatia, I have no hesitation in recommending her dental clinic for implant work or any other dental procedure. Not only is the clinic maintained to the highest of the medical standards, but the very personal service furnished to each and every patient in the form of daily telephone contact, makes going for Suprriya’s dental surgery a considerably agreeable experience. I would also state categorically that the work of team colleague, Dr Gupta and his assistant, in the domain of implants, does not fall short of excellence and again, I can sincerely recommend his most professional and easy approach to the job in hand.”