
How do you filter through all the results that come up? There are many fine professional dental practices that would consider themselves The Best Dental Clinic in Delhi and The Best Dental Clinic in India. However, we also know from all of the remedial dental work we undertake every week on patients who have had far from satisfactory experiences. We also know from our international patients that this phenomenon is not just limited to Dental clinics in India.
FOR QUERIES
BEGIN YOUR JOURNEY OF DENTAL WELLNESS. POST YOUR QUERY HERE & AVAIL 'A FREE CONSULTATION & SMILE ANALYSIS.'
Whether you live in Delhi or are visiting from another city in India or contemplating visiting from any country in the World; how do you filter through all the slick websites and reviews you have found, since most dental clinics in Delhi have a decent web presence; determine who is genuine and decide who will work on your teeth? Are they experienced? Are those photos and reviews genuine? These are your teeth and your decision on choosing which dental team will work on them is something you cannot afford to get wrong.
My name is Dr. Suprriya B Bhatia and I have been practising dentistry for the past 25 years. I formed ‘Smile Delhi- The Dental Clinic in 2011,’ located in the plush leafy neighbourhood of New Friends Colony in South Delhi. The aim was that I, with my team of 7 specialists, cut through all of the marketing hype to provide existing and prospective patients with honest, succinct and professional advice. Also to enable them to choose the dental team that they wish to perform their procedures from a position of knowledge and understanding. We are unique in that when you want to discuss your customised treatment plan and contact ‘Smile Delhi,’ you will be discussing it with me directly and not be delegated to a subordinate or an administrator. Please see the My Story page to see what drives me to do what I do.
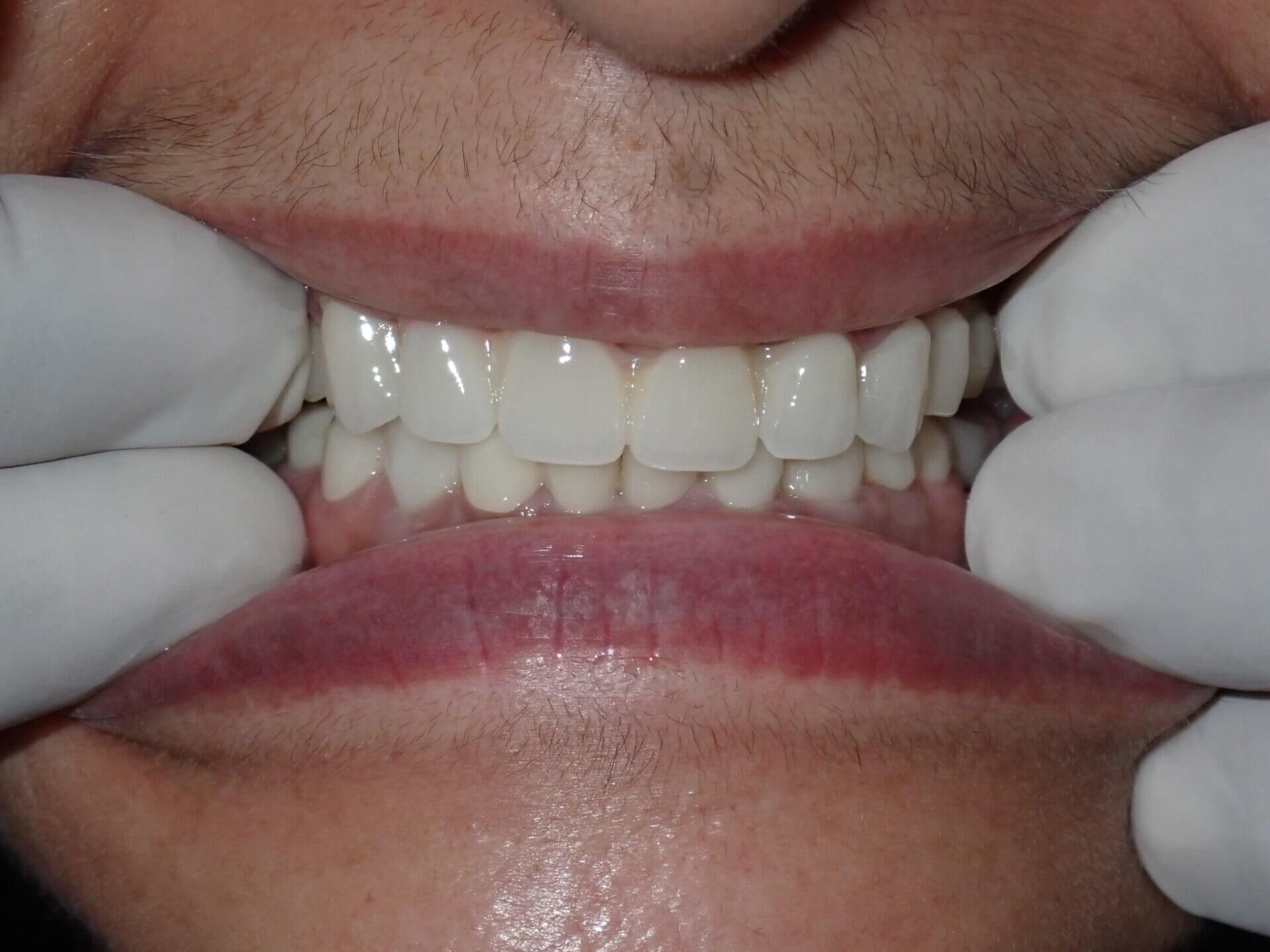
“Smile Makeovers & Full mouth rehabilitations” are our signature treatments. These treatments have not only delighted our patients from across the globe, also helped us in carving our reputation as one of the best dental clinics in South Delhi. Smile Delhi has been ranked in the ‘5 BEST DENTAL CLINICS IN DELHI BY NDTV DOCTOR.’
The following are our core values and the reasons I believe Smile Delhi is the Best Dental Clinic in Delhi and The Best Dental Clinic in India.
We strive through this website to provide comprehensive, succinct and verifiable information to explain the various dental procedures available, the qualifications and experience of the team of specialists that will be working on your teeth and gums and how we assess your unique dental requirements. I personally make myself available to answer any questions that you may still have and explain the procedures and decision-making processes involved in ensuring you receive the best and most cost-effective treatments, to achieve the results you want in the time available, based on the current condition of your teeth and gums. The best dentists in Delhi should be able to credit themselves with this quality of answering all the patient queries at length.
Whilst I and my team of specialists have decades of experience between us of achieving outstanding results on patients’ teeth and smiles and perform both routine and complex dental procedures on a daily basis, we never forget that you the patient spend very little time in a dentist’s chair and that it can be a cause of apprehension and stress for many of you. We strive to alleviate this as much as possible through clear communication on our procedures and the reasons we are recommending them for your unique case both prior to your visit and whilst you are with us. Whether one is a dentist in New Delhi or a dentist in South Delhi, being compassionate and empathetic to the patient is prime.
All our reviews, testimonials and gallery photos are authentic and genuine. We respect the privacy of all our patients but also ask them if they would be willing to speak with new prospective patients. We would be pleased to pass on any such requests from you. At Smile Delhi we have been keeping handwritten books of reviews (available in our reception area) from patients that have visited us since 2009 from 84 countries across the world. You can’t get more genuine than that. This has been appreciated by our patients to the extent, our patients have testified to us for not just being the best dental clinic in South Delhi, but also the best dental clinic delhi.
At Smile Delhi, hygiene is our first priority and is built into all of our dental processes, equipment, instruments and ourselves to international standards. The following describes our routine hygiene protocols.
The best dentists in Delhi and the best dental clinics in Delhi can be judged on the basis of their hygiene protocols.
At Smile Delhi we only use proven, established materials from internationally recognised companies. We do not utilise locally produced materials simply because they do not have the global presence and proven history at this time. Our international patients also appreciate the fact that they can walk into any dental clinic in the World and the brands of materials utilised in their dental work will be instantly recognised by other dental professionals. Would you expect anything less from a dental practice claiming to be the Best Dental Clinic in Delhi or The Best Dental Clinic in India?
The following are the core range of materials we utilise for all our patients:
We have been using the above materials for many years now with excellent results that continue to delight both our Indian and international patients alike; we have a wealth of experience in their clinical and aesthetic applications and stand by them implicitly. We can source other preferred brands for our patients if required – please see our services section for additional information.
My philosophy in treating patients is, “I will recommend those treatments to my patients, which I would do for my own family members, in terms of quality, longevity and ease of maintenance.”
There are many dentists in Delhi, India and around the world who prefer to become trained in multiple procedures and provide a single dentist in chair service that would include full mouth rehabilitations, dental implants treatment, root canal treatment, etc. in addition to the routine day-to-day procedures such as fillings and extractions. I do not believe in this generalist ‘jack-of all-trades’ philosophy and it is not one you will find at Smile Delhi. Here we believe in utilising skilled and experienced specialists to perform our single sitting root canal treatment, immediate implants, smile makeovers with veneers, wisdom teeth extractions,cosmetic dental procedures viz teeth whitening etc. These professionals keep up to date on the latest techniques, tools and materials in their field of expertise and perform the same procedures daily on multiple patients and numerous teeth. We feel thrilled when our patients from across the globe have often complimented our specialists and one of the compliments worth mentioning is ;
“To watch their workflow on an in-chair patient and how their muscle memory and precision delivers seamless applications of multiple specialised dental processes and procedures in the shortest amount of time with minimal or zero pain is a thing of beauty and artistry.” The best dentists in Delhi are specialists.
All of the specialists utilised by Smile Delhi have worked on either my own or my family’s teeth and have been with me for over a decade now. At Smile Delhi, we believe that this is a prerequisite for any dental practice claiming to be the Best Dental Clinic in Delhi, the Best Dental Clinic in India, or offering care from the best dentist in South Delhi — and we hope you agree.
I, Dr. Suprriya, personally communicate with all of Smile Delhi’s existing and prospective patients. I am available to provide extensive advice, education and consultation before you even set foot in our dental practice or even India itself. In addition, I personally oversee your treatment plan, specialist procedures, Smile Makeovers, etc. whilst you are at our clinic. Over the years I have found that this is particularly valued by our international patients.
Read more about our team of specialists in our Our Team section and the range of dental procedures we provide in our Services sections.
At Smile Delhi we do believe that price is one of your concerns when choosing who works on your dental requirements and dream smile. We strongly believe that the above mentioned points are equally important to both you and us. Once you believe that a dental practice, wherever they are in the world, will deliver the above, it comes down to price and none of us want to feel that we have been overcharged or ‘ripped off’ for anything we spend our hard-earned money on and especially not something we are going to see every morning when we first look in the mirror and brush our teeth.
One thing we would like to state categorically is that whether you are an Indian coming to us from Delhi or anywhere across the country or one of our international patients visiting from across the world – everybody pays the same price and receives the same excellent level of service and care.
Smile Delhi is neither the cheapest nor the most expensive dental clinic in Delhi or India – we strive to provide an excellent service using international traceable materials that are utilised by highly qualified, skilled and experienced specialists and provide complete transparency to you at a fair price. We pride ourselves in giving you a customised treatment plan and are more than happy to answer your discerning questions, some of them are as follows;
Depending on the answers you receive back, you should be able to judge the level of professionalism and competence of the people you are dealing with. Smile Delhi has a very specific process in assessing your needs and expectations both in clinic and remotely. We believe that everyone’s needs are unique, even though the dental procedures utilised may be the same, and that everyone needs an individual consultation either in person or remotely. This personalised approach has helped us become recognised as a trusted dentist in Delhi and one of the best dental clinics in the city.
Whilst it would be relatively easy for us to publish prices for a standard filling, extraction and even a root canal or whitening procedure; accurate pricing becomes more challenging for complex procedures such as implant treatments, crown and bridge, full mouth rehabilitation, smile makeovers, etc. In these cases, so much depends upon the current condition of the patient’s oral cavity, bone structure and of course teeth. Taking a full smile makeover as an example:
One patient may want only veneers whilst another may want only crowns and a third may want a mixture of both. One may require implants and another not. It may be discovered that a bite rehabilitation is required. Some may be time constrained and others not. One or more extractions may be required. Are there any abscesses or infections present that will need to be dealt with? How many fillings are present and are they large, old silver-coloured amalgams? Are all the teeth relatively straight and are there gaps between them? When you bite together, is there a space behind your front upper and lower teeth or do the front teeth impact the bottom teeth?
We totally understand that our prospective patients, particularly those from overseas, want to be able to fix a financial budget and have a timeline in place prior to getting on a plane to Delhi or anywhere else in the world for their dental treatment. At Smile Delhi we won’t give you a price and tell you we can get everything done in one or two weeks and then hold you to ransom when you are in the dental chair and tell you that you need additional procedures at additional cost and that you must stay in India for a longer time.
Both our in person and virtual appointments will allow us to get a much better idea of what you are looking to achieve and assess the current condition of your oral cavity and teeth which will allow us to generate a custom quotation for you including the correct specialist procedures for your unique case. We will also provide you with a fixed additional price per root canal as there is really no way any dentist can determine if this will be required and if so, how many, without physically inspecting and working on your teeth.
When comparing us to other dental practices, ask yourself if you believe that any dental clinic claiming to be the Best Dental Clinic in Delhi or The Best Dental Clinic in South Delhi would do any less?
We let you decide if this patient centric approach of assessing your individual needs and providing a quotation based on your current oral and teeth condition or if you prefer to choose from a ‘rate card’ of procedures listed on some other websites and hope they meet your needs without any surprises in store.
We look forward to discussing your unique dental requirements and to welcoming you at Smile Delhi to craft your smile together and joining our extended family of happy smiles in India and across the globe.
FOR QUERIES
BEGIN YOUR JOURNEY OF DENTAL WELLNESS. POST YOUR QUERY HERE & AVAIL 'A FREE CONSULTATION & SMILE ANALYSIS.'



