mobile-banner
"Personalized Care Is Our Competitive Edge."
Sushma Sethi India Post Treatment1 20240907

FULL MOUTH REHABILITATION WITH CROWNS & ROOT CANAL TREATMENT: A CASE STUDY IN DELHI

CASE STUDY VII– FULL MOUTH REHABILITATION WITH CROWNS & ROOT CANAL TREATMENT: A CASE STUDY IN DELHI

 

INTRODUCTION: A 62-year-old female patient visited our dental clinic in Delhi with multiple oral health concerns that were affecting her daily life. She reported persistent pain, discoloration of teeth, food lodgement, difficulty chewing, and misalignment. These issues had gradually reduced her confidence and overall quality of life.

After a comprehensive evaluation, a full mouth rehabilitation plan was designed focusing on preserving her natural teeth through multiple root canal treatments and restoring function with crowns and bridges. The treatment was carried out in a phased and patient-friendly manner, resulting in a fully restored smile with improved function, comfort, and aesthetics.

 

PATIENT BACKGROUND: The patient had a long-standing history of dental neglect, primarily due to fear of dental procedures and lack of timely intervention. Over the years, this led to progressive decay, tooth wear, and gum-related issues.

She had difficulty chewing properly, often avoided certain foods, and experienced frequent discomfort due to food getting lodged between her teeth. Aesthetic concerns such as discoloration and uneven teeth alignment further contributed to her hesitation in smiling or speaking confidently in social situations.

Her primary goal was to regain comfortable chewing ability and improve the overall appearance of her teeth without opting for complete extractions.

 

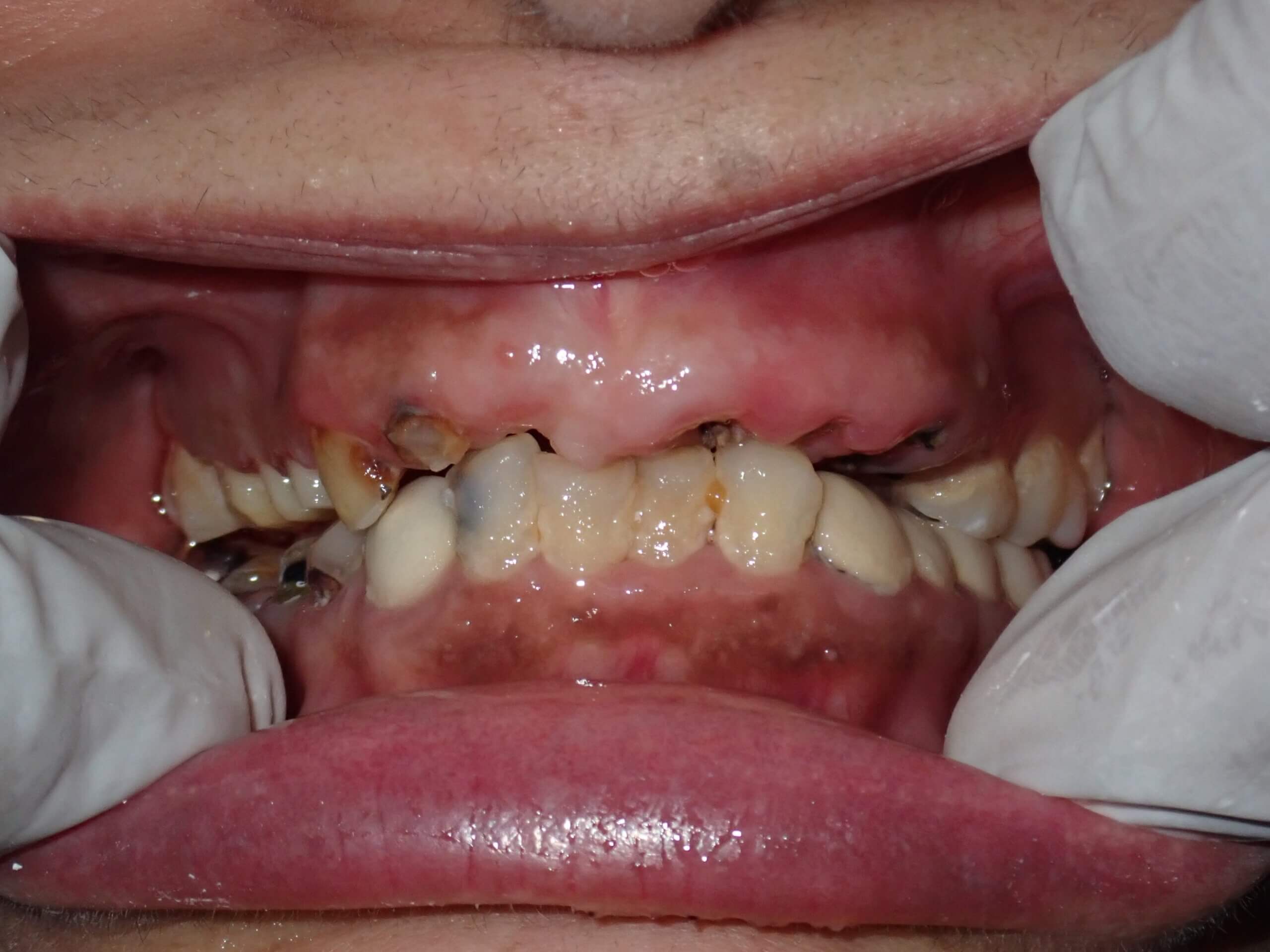
INITIAL ASSESSMENT & DIAGNOSIS: A detailed clinical examination, along with digital X-rays, revealed multiple compromised teeth with deep decay and infection. Several teeth had pulpal involvement requiring root canal treatment, while others showed structural damage and discoloration.

Key findings included:

  • Multiple decayed teeth with nerve involvement
  • Poor bite alignment affecting chewing efficiency. A collapsed bite.
  • Missing and non-restorable teeth requiring extraction
  • Generalized wear and discoloration
  • Food lodgement due to spacing and improper contacts

Despite the extent of damage, many teeth had sufficient bone support and could be preserved with appropriate treatment. This made full mouth rehabilitation with crowns a viable and conservative option compared to complete dentures or implants.

 

TREATMENT PLAN: A comprehensive, phased treatment plan was designed to restore function while prioritizing patient comfort and long-term stability.

Planned approach included:

  • Extraction of non-restorable teeth
  • Multiple root canal treatments to save natural teeth
  • Full coverage crowns to strengthen and protect treated teeth
  • A fixed bridge in the upper arch to replace missing teeth
  • Bite correction to improve chewing efficiency

Digital diagnostics and precise treatment planning were used to ensure proper alignment and occlusion. The treatment was spread across multiple appointments to allow healing and ensure minimal discomfort.

Special attention was given to the patient’s anxiety, with short, comfortable appointments and a pain-free approach using local anesthesia and gentle techniques.

 

TREATMENT PROCESS (STEP-BY-STEP JOURNEY): The treatment was carefully executed in multiple phases:

Phase 1: Upper Arch Rehabilitation

  • 6/8/2024: Crown preparation was completed for teeth 13, 14, 15, 16, 25, and 26. Extractions of teeth 12 and 24 were performed atraumatically to preserve surrounding bone.
  • 7/8/2024: Root canal treatments were carried out for the prepared teeth using advanced rotary endodontic techniques, ensuring precision and reduced discomfort.
  • 14/8/2024: A fixed dental bridge spanning from tooth 16 to 26 was placed, restoring both aesthetics and chewing function.
  • 16/8/2024: A follow-up visit ensured proper fit, bite alignment, and patient comfort.

Phase 2: Lower Arch Rehabilitation

  • 21/8/2024: Root canal treatments were performed for teeth 41, 42, 43, 44, 45, and 47. Extractions of 46 and 48 were also completed.
  • 27/8/2024: Crown preparation and impressions were taken for teeth 37 to 47, ensuring accurate fitting prosthetics.
  • 5/9/2024: Final crowns were placed, restoring the lower arch completely.

Follow-Ups & Care

  • 14/9/2024 & 19/10/2024: Follow-up appointments confirmed successful healing, proper bite function, and patient satisfaction.

Throughout the treatment, the patient was closely monitored and all procedures were carried out with a focus on comfort, minimal pain, and clear communication.

 

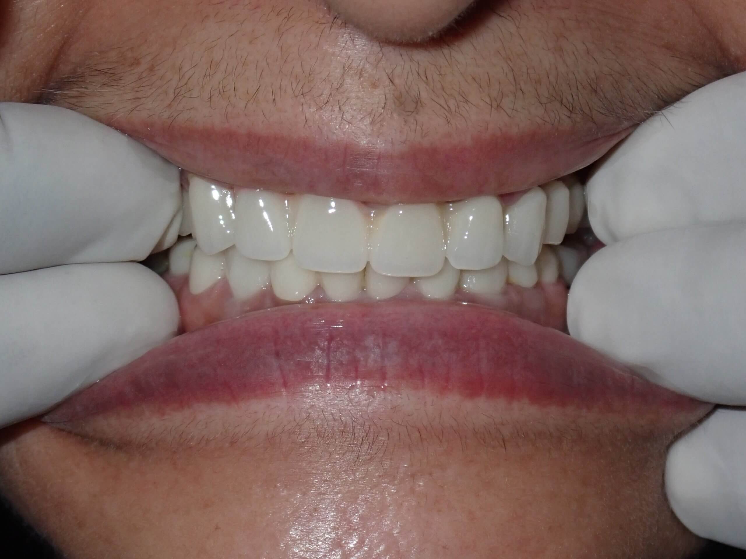
RESULTS & OUTCOME: The transformation was both functional and aesthetic.

Key improvements included:

  • Resuming eating her favourite foods and relishing it
  • Elimination of pain and sensitivity
  • Improved alignment and bite stability
  • A natural-looking aesthetic smile
  • No more food lodgement issues
  • Restored confidence and happiness

The patient adapted very well to the new crowns and bridge, reporting immediate improvement in chewing efficiency. Over time, she regained confidence in her smile and was able to enjoy a wider variety of foods without discomfort.

Healing was smooth, and follow-ups confirmed excellent oral health stability and patient satisfaction.

Sushma Sethi India Pre Treatment 20240806

Before

ushma Sethi India Post Treatment1 20240907

After

PATIENT FEEDBACK

I’m Sushma, and I first heard about Smile Delhi – The Dental Clinic through my son, who had a great experience here. Based on his recommendation, I decided to visit Dr. Supriya and her team—and I’m so glad I did!

I was dealing with multiple dental issues, including worn-down and broken teeth, and needed full mouth rehabilitation. Honestly, I was quite nervous about the whole process, but from the very first consultation, Dr. Supriya made me feel at ease. She explained everything in detail, answered all my concerns, and reassured me that the process would be smooth and painless—and she was absolutely right!

My treatment included one-sitting root canals, extractions, and beautifully crafted porcelain crowns and bridges. The transformation has been incredible! I went from struggling with my teeth to having a full, natural-looking smile that not only looks great but also lets me eat comfortably again. It’s such a relief to enjoy food without any discomfort.

What really stood out to me was the warmth and professionalism of Dr. Supriya and her entire team. They are incredibly skilled, patient, and caring, making sure I was comfortable every step of the way. The clinic itself is spotless, with top-notch hygiene standards, which gave me even more confidence in my treatment.

I can’t thank them enough for the outstanding care I received. If you’re looking for a dental clinic that truly prioritizes patient comfort, expertise, and results, I highly recommend Smile Delhi – The Dental Clinic!

 

DENTIST’S INSIGHT: This case highlights the importance of preserving natural teeth whenever possible. Despite extensive damage, a well-planned full mouth rehabilitation using root canal treatments and crowns can successfully restore both function and aesthetics.
The key to success in this case was phased treatment planning, precise execution provided by the niche expertise through a team of specialists, and maintaining patient comfort throughout. Addressing her anxiety through gentle and patient handling, personalised care and ensuring a pain-free experience played a crucial role in achieving a positive outcome.

 

CONCLUSION: Full mouth rehabilitation can dramatically improve quality of life, even in complex cases involving multiple dental issues. With the right approach, it is possible to restore function, comfort, and confidence without removing all natural teeth.
If you are experiencing similar concerns like difficulty chewing, pain, or worn-down teeth, our expert team can help you with a customized treatment plan.

📞 Book your consultation today at Smile Delhi – The Dental Clinic, Delhi, and take the first step toward a healthier, more confident smile.

.